• Back Issues >
  • BioOptics World >
  • Volume 7, Issue 6
  • Volume 7, Issue 6

    1411bow 29
    Spectroscopy

    OPTICAL FIBER FOR MEDICAL APPLICATIONS: Improved deep-UV fiber for medical and spectroscopy applications

    Nov. 14, 2014
    A new solarization-resistant silica fiber can be used even at the 214 and 265 nm absorption bands of silica and at small diameters useful for in vivo medical applications.
    Content Dam Bow Print Articles 2014 11 1411bow 32
    Microscopy

    BIOIMAGING/MICROSCOPY: Choosing the right camera for digital microscopy

    Nov. 14, 2014
    In digital microscopy, the importance of the camera cannot be overstated. Recent advances in technology mean the opportunity to select a camera with features that will enhance...
    Molecular tests allow doctors to get precise answers about the types of virus and bacteria cells involved in infectious diseases.
    Bioimaging

    POINT-OF-CARE MEDICINE/MOLECULAR DIAGNOSTICS: Infectious disease control with portable CMOS-based diagnostics

    Nov. 14, 2014
    A CMOS- and LED-based imager demonstrates sensitive, specific measurement of pathogens that cause infectious diseases. Such an effective and affordable point-of-care tool promises...
    FIGURE 1. The number of wavelengths used in multispectral analysis impacts spectral unmixing image quality: full-color image (a), primary stain images vs. number of wavelengths (b), relative unmixing quality obtained by quantifying the image contrast vs. number of wavelengths (c), and spectra used for the unmixing (d).
    Spectroscopy

    SPECTRAL IMAGING: Real-time spectral unmixing enhances understanding of cellular biomarkers

    Nov. 14, 2014
    Aided by acousto-optic tunable filters and spectral unmixing, multispectral imaging promises benefits for applications from vital signs monitoring and cancer detection to neuroscience...
    (Image courtesy of Hernetics)
    FIGURE 1. The Solea CO2 dental laser system needed to be compact despite containing a variety of advanced optical systems.
    Biomedicine

    DENTAL LASERS/LEDS: Dentists without drills? How light-based tools are changing dentistry

    Nov. 14, 2014
    Laser- and LED-based tools promise a future of simpler, faster, and more comfortable dental procedures -- and new options for home-based preventive care.

    More content from Volume 7, Issue 6

    (Photos courtesy of Matt Staley/HHMI; Bernd Schuller, Max-Planck-Institut; and LA Cicero/Stanford University)
    Left to right: Betzig, Hell, and Moerner.
    Fluorescence

    FLUORESCENCE MICROSCOPY: Nobel Prize honors super-resolution microscopy pioneers

    Nov. 14, 2014
    The 2014 Nobel Prize in Chemistry recognizes the efforts that resulted in super-resolution fluorescence microscopy. New work by the honorees demonstrates the benefits of their...
    The camera is positioned about 3 feet away from the patient. The learning algorithm accurately detects the corners of the eyes, even when the patient's head is inclined.
    Bioimaging

    Thermal imaging solves respiration monitoring woes

    Nov. 13, 2014
    Respiratory rate (RR) is a key indicator of health. But currently, RR measurement depends on contact methods, with inherent difficulties such as patient discomfort, setup complication...
    1411bownews Fig4
    Fluorescence

    MOLECULAR DIAGNOSTICS/FLUORESCENCE: CMS to cover noninvasive colorectal cancer test

    Nov. 13, 2014
    Exact Sciences has achieved a milestone with its fluorescence-based molecular diagnostics tool for noninvasive colorectal cancer and precancer testing: Cologuard will be covered...
    The final panel discussion at Strategies in Biophotonics, which focused on disruptive innovation and the future of biophotonics, highlighted the struggle that emerging technologies can face in addressing established standards. Left to right: Howard Shapiro, MD, Gary Tearney, MD, Ph.D., Aydogan Ozcan, Ph.D., and Dan Gareau, Ph.D. Tearney, who delivered a popular keynote at the event, will also speak at the Lasers and Photonics Marketplace Seminar on Monday, February 9, 2015, in San Francisco, CA.
    Fluorescence

    BIOPHOTONICS-BASED INNOVATION: Strategies in Biophotonics highlights moral imperative, practical matters

    Nov. 13, 2014
    With its focus on helping system and device developers prepare and launch biophotonics-based innovations, the Strategies in Biophotonics conference covered a range of topics from...
    Fig 3
    Optical Coherence Tomography

    OCT/NEAR-INFRARED DETECTION: Funding endorses intraoperative OCT, NIR brain scanning

    Nov. 13, 2014
    The National Eye Institute has allocated a total of $1.72 million in grants to Bioptigen for development of microscope-integrated intraoperative OCT technology.
    1411bownews Fig1 1
    Microscopy

    NEUROSCIENCE: NPI launches neuroscience group at BRAIN Initiative conference

    Nov. 13, 2014
    Leaders of the National Photonics Initiative launched its Photonics Industry Neuroscience Group alongside officials from the White House OSTP in conjunction with the White House...
    1411lfwnewsf4
    Neuroscience

    NEUROSCIENCE: Small, stable quantum dots advance real-time neuronal research

    Nov. 13, 2014
    The large diameters (15-35 nm) of commercial quantum dots (QDs) preclude their use in spatially confined biological environments such as cell junctions and neuronal synapses.
    1411bowbreakf3
    Microscopy

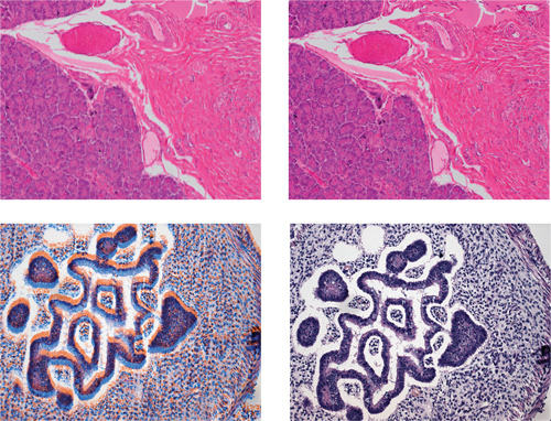
    MICROSCOPY/CANCER TREATMENT: Nonlinear microscopy technique promises to reduce cancer surgeries

    Nov. 13, 2014
    Nearly 40 percent of patients undergoing breast-conserving cancer surgery need subsequent surgery to remove tumor margins that are positive (cancerous) or close (suspicious).
    1411bowbreakf1
    Neuroscience

    MULTIPHOTON IMAGING/SPECTROSCOPY: Iterative, nonlinear approach images noninvasively through intact skull

    Nov. 13, 2014
    A major limitation of optical measurement in biological tissue is that imaging depth is limited by aberration and light scattering. Adaptive optics (AO) and other methods can ...
    (Image courtesy of the Betzig Lab, HHMI/Janelia Research Campus)
    Lattice light-sheet microscopy quickly collects high-resolution images while minimizing damage to cells.
    Fluorescence

    LATTICE LIGHT-SHEET MICROSCOPY: Laureate's reprise shows real-time subcellular activity in 3D

    Nov. 13, 2014
    As the Nobel Committee for Chemistry was announcing the 2014 prize would go to Eric Betzig, Betzig and colleagues were preparing to announce a publication describing lattice light...
    Barbaragoode2
    Fluorescence

    One thing leads to another

    Nov. 13, 2014
    What an exciting time for biophotonics watchers! From the U.S.'s launch of the Photonics Industry Neuroscience Group, alongside officials from the White House Office of Science...